편도결석은 많은 사람들이 경험하는 질환 중 하나로, 편도의 틈새에 음식물 찌꺼기, 세균, 타액 등의 물질이 쌓여 딱딱하게 굳은 결석을 말합니다. 이러한 결석은 다양한 원인과 증상을 동반하며, 적절한 대처와 치료가 필요합니다. 이번 글에서는 편도결석의 주요 내용에 대해 알아보고, 이를 관리하는 방법에 대해 살펴보겠습니다.

편도결석이란?
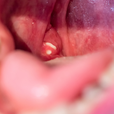
편도결석은 편도선의 크립트(작은 구멍) 속에 음식물 찌꺼기, 세균, 타액 등이 쌓여 형성된 작은 결석입니다. 이러한 결석은 편도선염과 구취를 유발할 수 있으며, 심한 경우 불편함과 통증을 초래할 수 있습니다.
원인
편도결석의 형성 원인은 다양합니다. 주된 원인으로는 구강 위생 불량, 편도선의 구조적 특성, 만성 편도선염 등이 있습니다. 특히, 편도선의 크립트가 깊거나 많을 경우 결석이 쉽게 형성될 수 있습니다. 또한, 편도선염을 반복적으로 겪는 사람들에게서 자주 발생할 수 있습니다.
증상
편도결석의 주요 증상으로는 구취, 인후통, 이물감 등이 있습니다. 구취는 결석 속에 존재하는 세균이 악취를 발생시키기 때문에 나타납니다. 또한, 결석이 크거나 많을 경우 삼킬 때 통증을 느낄 수 있으며, 이로 인해 생활에 불편을 겪을 수 있습니다.
주요 특징
편도결석은 주로 백색 또는 황색을 띠며, 크기가 작은 경우 자각하지 못할 수도 있습니다. 그러나 결석이 클 경우 편도선이 부어오르거나 염증이 발생할 수 있습니다. 이러한 특징은 결석의 크기와 위치에 따라 다르게 나타날 수 있습니다.
통증과 불편함
편도결석으로 인한 통증은 삼킬 때 주로 느껴지며, 심한 경우 귀까지 통증이 퍼질 수 있습니다. 또한, 결석이 편도선에 자극을 주어 염증을 유발할 수 있으며, 이로 인해 지속적인 인후통을 겪을 수 있습니다.
대처방법
편도결석을 예방하고 관리하기 위해서는 구강 위생을 철저히 유지하는 것이 중요합니다. 양치질과 함께 구강 세정제를 사용하여 구강 내 세균을 제거하는 것이 도움이 됩니다. 또한, 물을 자주 마셔 편도선을 깨끗하게 유지하는 것도 효과적일 수 있습니다. 결석이 발생한 경우, 가글링을 통해 결석을 제거할 수 있으며, 심한 경우에는 의료 전문가의 도움을 받아야 합니다.
치료법
편도결석의 치료법으로는 자가 치료와 의료 치료가 있습니다. 자가 치료로는 소금물 가글링, 구강 세정제 사용, 편도 결석 제거기를 이용한 방법 등이 있습니다. 의료 치료로는 레이저 치료, 편도선 절제술 등이 있으며, 이는 결석이 심하거나 반복적으로 발생하는 경우 고려될 수 있습니다.
주의사항
편도결석을 예방하기 위해서는 정기적인 구강 검진과 철저한 구강 위생 관리가 필요합니다. 또한, 편도선염이 자주 발생하는 경우 의료 전문가와 상담하여 적절한 치료를 받는 것이 중요합니다. 결석을 무리하게 제거하려다 오히려 편도선을 손상시킬 수 있으므로, 전문 의료인의 도움을 받는 것이 좋습니다.
결론
편도결석은 흔한 질환이지만, 적절한 관리와 치료를 통해 불편함을 줄일 수 있습니다. 이번 글을 통해 편도결석에 대한 이해를 높이고, 효과적인 대처 방법을 익혀 건강한 생활을 유지하시길 바랍니다.